IMG_3902.jpg
tempImage3GYlPJ.jpg
FullSizeRender.jpg
IMG_3894.jpeg
IMG_3902.jpg

About the Office


ABOUT THE OFFICE

SCROLL DOWN

About the Office


ABOUT THE OFFICE

Modern, Efficient, & Comfortable

Warner Endodontics features modern endodontic technology, including digital radiographs and CBCT imagery, rotary instrumentation, digital record keeping, and more.

tempImage3GYlPJ.jpg

CBCT


CBCT IMAGERY

CBCT


CBCT IMAGERY

Cone Beam Computed Tomography (CBCT) creates 3-Dimensional images that provide detail standard dental radiographs cannot. This allows an endodontist to view teeth from multiple angles, which can reveal anatomical variations or pathology a regular 2-D image fails to disclose. The information contained within CBCT can be invaluable while diagnosing and treating simple and complex cases.

Our CBCT unit utilizes Planmeca Ultra Low Dose™ – a proprietary low dose 3D imaging protocol that enables CBCT imaging with an even lower patient radiation dose than standard panoramic imaging.

This allows capturing an image with a decreased effective patient dose without any significant loss in image quality.

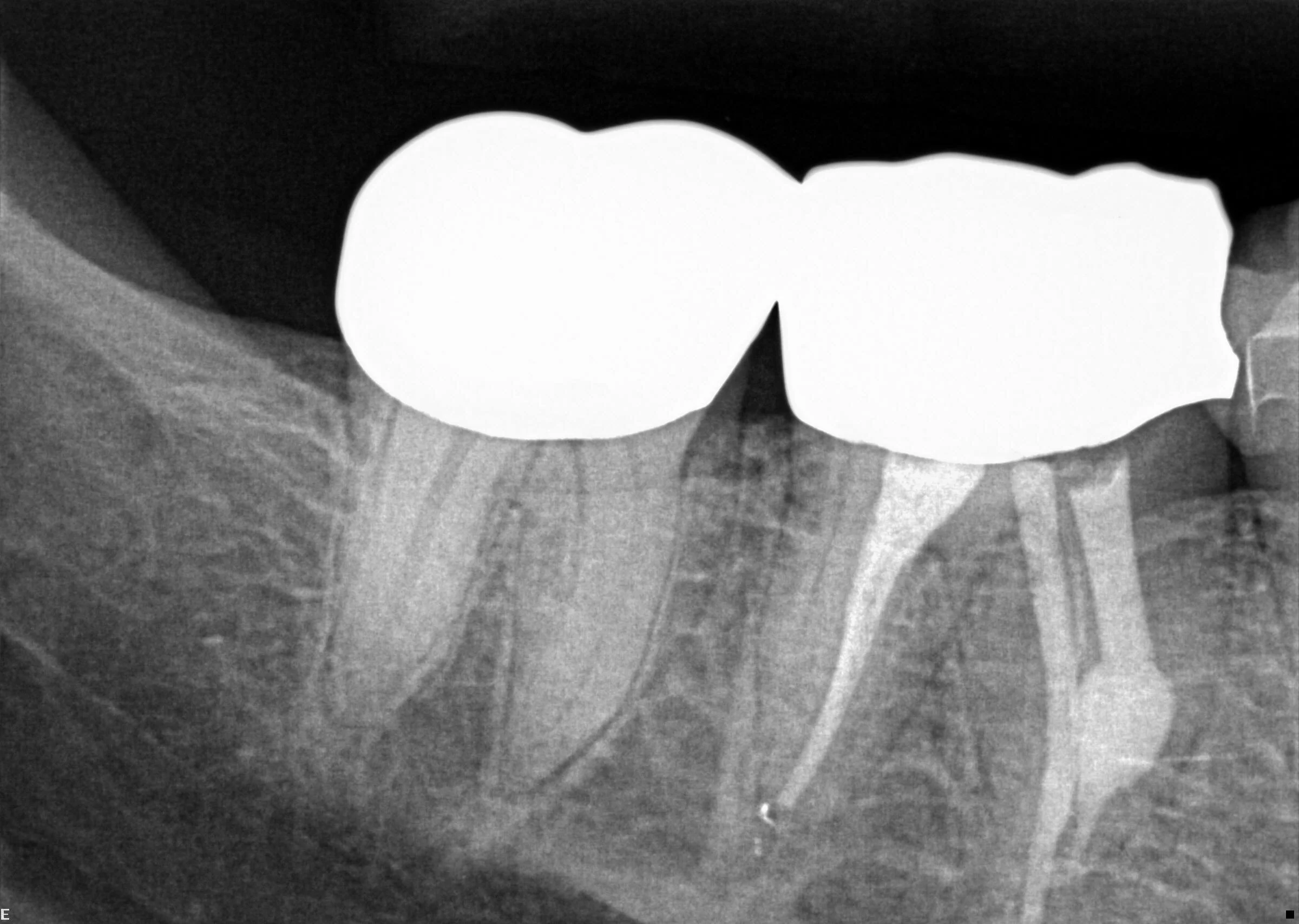
The following example demonstrates how CBCT imagery can assist in diagnosing resorption. In this particular case, internal resorption occurred in both the mesial and distal roots of tooth #30.

More Examples
FullSizeRender.jpg

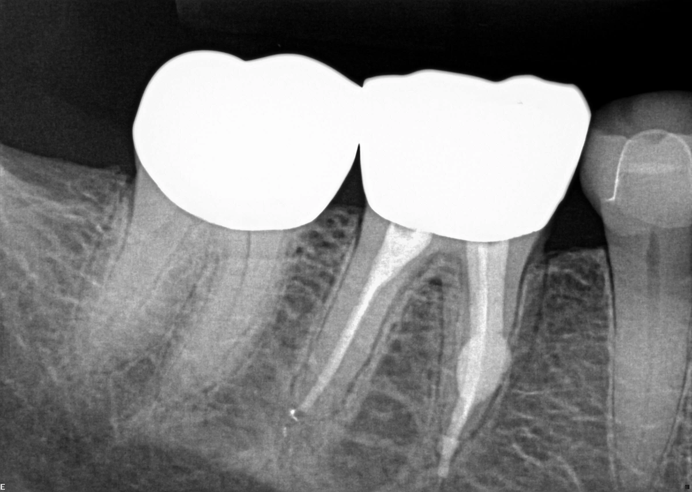
Digital Radiography


DIGITAL RADIOGRAPHY

Digital Radiography


DIGITAL RADIOGRAPHY

Digital radiographs are the standard in dentistry.  They offer instant image production at about a quarter of the radiation exposure offered by traditional x-ray films.  A lower exposure and faster image retrieval means increased safety and efficiency.  It also allows for easier data sharing with the primary dentist, which saves time.

IMG_3894.jpeg

Endodontic Technology


ENDODONTIC TECHNOLOGY

Endodontic Technology


ENDODONTIC TECHNOLOGY

The use of modern endodontic technology helps increase treatment efficiency and improve endodontic outcomes.  Newer technologies are also safer and more reliable than the ones of the past.

Electronic Apex Locators increase accuracy of canal lengths and reduce radiation exposure.

Electronic Apex Locators increase accuracy of canal lengths and reduce radiation exposure.

Rotary instrumentation reduces working time and enhances canal shaping.

Rotary instrumentation reduces working time and enhances canal shaping.

The dental operating microscope allows for enhanced magnification during the procedure.

The dental operating microscope allows for enhanced magnification during the procedure.